• 康贝佳首页
  • 欢迎来到康贝佳官方网站,专注口腔健康,笑出精彩人生!咨询热线:0510-88555988
  • 关于我们:

当前位置: 首页 > 牙齿种植

牙齿种植

Dental implants

免费咨询电话:
0510-88555988

QQ咨询在线咨询
无锡人工种植牙价格多少
来源:康贝佳口腔 发布时间:2019-01-28 14:45
  种植牙被越来越多的人所接受,但是他们不太清楚人工种植牙价格,为此无锡康贝佳口腔专家就人工种植牙价格多少来谈谈。
 
  很多患者首先就关心这个问题。关于人工种植牙价格多少,无锡康贝佳口腔专家表示:“在回答人工种植牙价格多少之前,我们先了解什么是人工种植牙。
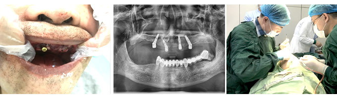
种植牙
 
 
  人工种植牙也就是种植牙,并不是真的种上自然牙齿,而是通过医学方式,将与人体骨质兼容性高的纯钛金属经过精密的设计,制造成类似牙根的圆柱体或其他形状,以外科小手术的方式植入缺牙区的牙槽骨内,经过 1~3 个月后,当人工牙根与牙槽骨密合后,再在人工牙根上制作烤瓷牙冠。因不具破坏性,种植牙已被口腔医学界公认为缺牙的良好修复方式。”
 
  “人工种植牙价格包括种植体、修复基台、手术以及烤瓷牙冠价格。影响人工种植牙价格多少的因素主要有品牌、烤瓷牙冠种类、医生技术以及护理等。”
 
  无锡康贝佳口腔推荐技术:奥齿泰种植系统种植牙
 
  奥齿泰种植系统种植牙只是一种牙科临床上的小手术罢了,根据许多种过牙和拔过牙的人的经验,其实种牙就和拔牙的感觉差不多,只不过拔牙是少了牙齿,而植牙则是弥补少掉的牙齿。这是一种来自韩国品牌的种植体,因为其高性价比而受到欢迎,国内普及率高。
 
  温馨提示:如果您还有疑问和不解,欢迎在线咨询,真诚为您服务!