• 康贝佳首页
  • 欢迎来到康贝佳官方网站,专注口腔健康,笑出精彩人生!咨询热线:0510-88555988
  • 关于我们:

当前位置: 首页 > 牙齿种植

牙齿种植

Dental implants

免费咨询电话:
0510-88555988

QQ咨询在线咨询
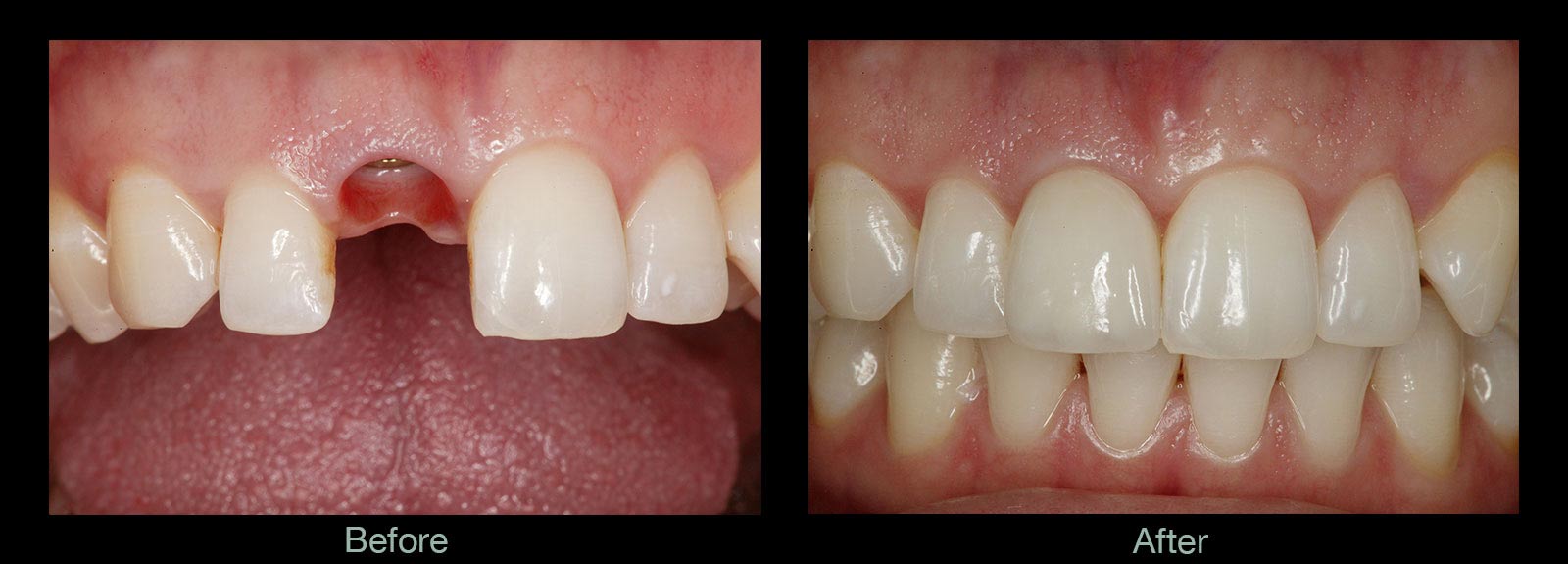
无锡一般种植牙要多少钱?
来源:康贝佳口腔 发布时间:2018-07-28 09:05
  当牙齿出现问题的时候,牙齿无法进行治疗的时候,有的人就会选择换一颗牙齿,换一颗牙齿指的就是把原来坏 了的牙齿拔掉,然后重新进行种植或者是其他的修复方式。那么,无锡一般种植牙要多少钱?
 
种植牙
 
  一般如果想要换一颗牙,首先要将坏了的牙齿拔掉,再进行种植,所以价格是要拔牙加种植牙的价格一起算,大 概在一到两万左右。但是这个价格也是不稳定的,会被很多因素所影响。
 
  影响拔牙价格的因素有很多,例如说牙齿的状况,有的牙齿虽然需要拔牙,但是可能还很坚固的在牙槽骨中,拔 牙的难度比较大,或者是牙周的情况不太好,还有就是拔牙的时候是不是打麻药等,很多情况都会影响到价格;
 
  在种植牙的时候,牙槽骨的情况,种植牙的种植体和牙冠等多种问题的不相同都会影响种植牙的价格。推荐阅读 :牙齿种植的优缺点
 
  除此之外,选择的齿科也对价格有很大的影响,小型诊所的价格会比较便宜,但是技术设施不是很先进,卫生条 件也不好,所以会影响到治疗效果,正规齿科的价格虽然会稍高,但是治疗的效果会比较好,后续的使用也比较 好。
 
  种植牙和拔牙的齿科推荐
 
  无锡康贝佳口腔治疗牙齿方面具有非常丰富的经验,在康贝佳得到治疗的患者也是不计其数,康贝佳口腔更 是凭借齿科全套设备和来自海内外的齿科医生获得了诸多爱牙人士的青睐,本着"让中国微笑"的服务宗旨,关爱 顾客健康,将人文服务做到无微不至,遵行亲情式服务,以真诚温暖顾客心田,带给您放心、贴心的诊疗服务, 真正让您体会到品质医疗的魅力所在。
 
  无锡一般种植牙要多少钱?如果您对于换一颗牙多少钱还有什么疑问,您可以在线咨询,与康贝佳在线医生进行 一对一交流。